آیا زگیل تناسلی در تست پاپ اسمیر مشخص مشخص میشود؟
زگیل تناسلی شایع ترین عفونت مقاربتی (STI) است که توسط ویروسی به نام ویروس پاپیلومای انسانی (HPV) ایجاد می شود. بیش از 180 نوع HPV وجود دارد که بیشتر آن ها مشکلی ایجاد نمی کنند. برخی از آن ها باعث ایجاد زگیل در سایر قسمت های بدن (غیر از اندام های تناسلی) می شوند.زگیل های تناسلی بیشتر با ویروس های...
زگیل تناسلی شایع ترین عفونت مقاربتی (STI) است که توسط ویروسی به نام ویروس پاپیلومای انسانی (HPV) ایجاد می شود. بیش از 180 نوع HPV وجود دارد که بیشتر آن ها مشکلی ایجاد نمی کنند. برخی از آن ها باعث ایجاد زگیل در سایر قسمت های بدن (غیر از اندام های تناسلی) می شوند.
زگیل های تناسلی بیشتر با ویروس های نوع 6 و 11 مرتبط هستند. برخی از انواع HPV می توانند منجر به تغییرات پیش سرطانی و یا سرطان دهانه رحم شوند که انواع پرخطر HPV نامیده می شوند. این ویروس ها همچنین می توانند سرطان واژن یا فرج، سرطان مقعد و سرطان گلو یا دهان ایجاد کنند.
برخی حقایق مهم در مورد HPV
- عفونت HPVاز طریق تماس جنسی با فرد آلوده (از جمله تماس با مقعد، دهان یا واژن) منتقل می شود. حتی اگر زگیل تناسلی وجود نداشته باشد، ویروس HPV می تواند منتقل شود.
- زگیل های تناسلی ممکن است ۶ هفته تا ۶ ماه بعد از ابتلا به ویروس ظاهر شوند. حتی ممکن است سال ها متوجه آن ها نشوید.
- همه افرادی که با ویروس HPVیا فرد مبتلا به زگیل تناسلی در تماس بوده اند، به آن مبتلا نمی شوند.

🔔 برخی شرایط، احتمال ابتلا و یا انتقال زگیل های تناسلی را افزایش می دهند. از جمله:
- داشتن شریک های جنسی متعدد
- فعالیت جنسی در سنین پایین
- مصرف دخانیات یا الکل
- ابتلا به یک عفونت ویروسی مانند هرپس (تبخال) تناسلی و همچنین داشتن استرس (به طور همزمان)
- بارداری
- سیستم ایمنی ضعیف به دلیل بیماری هایی مانند دیابت، HIV یا ایدز و یا مصرف برخی داروها
مشاهده عکس زگیل تناسلی مردان و زنان
آیا زگیل تناسلی در تست پاپ اسمیر مشخص می شود؟
سرطان دهانه رحم تقریبا در تمام موارد توسط ویروس پاپیلومای انسانی یا HPV ایجاد می شود. این ویروس اغلب از طریق رابطه جنسی با فرد آلوده منتقل می شود. واکسنHPV می تواند از ابتلا به دو نوع HPV که حدودا 70 درصد سرطان های دهانه رحم را ایجاد می کنند، پیشگیری کند. داشتن رابطه جنسی ایمن و محافظت شده نیز خطر ابتلا به عفونت های مقاربتی (از جمله HPV) را کاهش می دهد. اما از آنجایی که تست پاپ اسمیر می تواند توده های پیش سرطانی (که 100 درصد قابل درمان هستند) را تشخیص دهد، انجام این آزمایش به طور منظم، اهمیت بسیار زیادی دارد.
علائم زگیل تناسلی در مردان و زنان
زگیل های تناسلی می توانند به اندازه ای کوچک باشند که با چشم دیده نشوند. این زگیل ها معمولا به صورت زیر دیده می شوند:
- لکه های گوشتی برجسته یا صاف
- زائده هایی که شبیه گل کلم به نظر می رسند
🔔 در زنان، زگیل های تناسلی اغلب در نواحی زیر یافت می شوند:
- داخل واژن یا مقعد
- خارج از واژن یا مقعد و یا در نواحی اطراف آن
- روی دهانه رحم (داخل بدن)
🔔 در مردان نیز زگیل های تناسلی معمولا در این نواحی دیده می شوند:
- روی آلت تناسلی
- کیسه بیضه
- ناحیه کشاله ران
- ران ها
- داخل و یا اطراف مقعد
🔔 زگیل های تناسلی ممکن است در قسمت های زیر نیز ایجاد شوند:
- لب ها
- دهان
- زبان
- گلو
🔔 علائم دیگری که به ندرت ایجاد می شوند نیز شامل موارد زیر است:
- افزایش رطوبت ناحیه تناسلی در اطراف زگیل ها
- افزایش ترشحات واژینال
- خارش ناحیه تناسلی
- خونریزی واژینال در حین رابطه جنسی و یا بعد از آن
آزمایشات و تست های تشخیصی
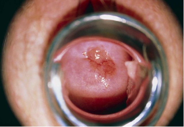
برای تشخیص زگیل تناسلی، پزشک ابتدا یک معاینه فیزیکی انجام می دهد و زگیل ها را از لحاظ ظاهری بررسی می کند. برای تشخیص زگیل هایی که با چشم غیر مسلح دیده نمی شوند، از روشی به نام کولپوسکوپی استفاده می شود. این روش برای مشاهده و نمونه برداری (بیوپسی) از بافت های غیر طبیعی دهانه رحم به پزشک کمک می کند. کولپوسکوپی معمولا به دنبال یک نتیجه پاپ اسمیر غیرطبیعی انجام می شود.

ویروسی که باعث زگیل تناسلی می شود، می تواند نتایج غیرطبیعی در تست پاپ اسمیر ایجاد کند. آزمایشDNA HPVنیز می تواند انواع پرخطر HPV که سرطان دهانه رحم ایجاد می کنند را تشخیص دهد. این آزمایش در شرایط زیر ممکن است انجام شود:
- در صورت بروز زگیل های تناسلی
- به عنوان یک آزمایش غربالگری برای زنان بالای 30 سال
- در زنانی که نتیجه تست پاپ اسمیر غیر طبیعی بوده است
🔔 در صورت ابتلا به زگیل تناسلی، فرد باید از نظر ابتلا به سرطان های دهانه رحم، واژن، فرج یا مقعد نیز غربالگری شود.
سرطان دهانه رحم و HPV
سرطان دهانه رحم، سومین سرطان شایع در زنان در سرتاسر جهان است. به همین دلیل توصیه می شود زنان به طور منظم تست پاپ اسمیر انجام دهند. این تست به تشخیص سرطان دهانه رحم (گاهی اوقات حتی قبل از اینکه سلول های غیر طبیعی به سرطان تبدیل شوند) کمک می کند. سرطان دهانه رحم اغلب از سلول های پوشش دهانه رحم (قسمت تحتانی رحم) شروع می شود. دو نوع سلول بر روی سطح دهانه رحم وجود دارد (سلول های سنگفرشی و ستونی). بیشتر سرطان های دهانه رحم، از سلول های سنگفرشی ایجاد می شوند.
تشخیص سرطان دهانه رحم
سرطان معمولا بسیار آهسته شروع می شود. این وضعیت پیش سرطانی که به آن دیسپلازی گفته می شود، با تست پاپ اسمیر قابل تشخیص بوده و 100 درصد قابل درمان است. تغییرات پیش سرطانی می تواند به سرطان دهانه رحم تبدیل شود و به قسمت های دیگر بدن از جمله مثانه، روده ها، ریه ها و کبد نیز منتشر شود. ممکن است چندین سال طول بکشد تا این تغییرات پیش سرطانی، به سرطان دهانه رحم تبدیل شوند.
ضمن اینکه بیماران مبتلا به سرطان دهانه رحم، معمولا تا زمانی که سرطان پیشرفت نکرده و گسترش نیافته، هیچ گونه مشکلی ندارند. بیشتر اوقات، سرطان اولیه دهانه رحم هیچ علامتی ندارد. اما علائم سرطان پیشرفته می تواند شامل کمردرد، شکستگی استخوان، خستگی، خونریزی شدید واژینال، نشت ادرار، درد پا، از دست دادن اشتها و درد لگن باشد. بعد از انجام تست پاپ اسمیر، در صورتی که پزشک تغییرات غیرطبیعی در دهانه رحم مشاهده کند، ممکن است کولپوسکوپی را تجویز کند.
همچنین، پزشک ممکن است بیوپسی (نمونه برداری از بافت) انجام دهد و نمونه را جهت بررسی به آزمایشگاه بفرستد. سپس در صورتی که سرطان دهانه رحم تشخیص داده شود، پزشک برای تعیین میزان پیشرفت سرطان، آزمایشات بیشتری را تجویز می کند.
درمان سرطان رحم
درمان بیماری به عواملی مانند مرحله (استیج) سرطان، اندازه و شکل تومور، سن فرد و وضعیت سلامت عمومی بدن و همچنین تمایل فرد برای بچه دار شدن در آینده بستگی دارد. سرطان اولیه دهانه رحم را می توان از طریق عمل جراحی (برای برداشتن بافت غیر طبیعی)، منجمد کردن سلول های غیرطبیعی و یا سوزاندن بافت های غیر طبیعی درمان نمود. اما درمان سرطان پیشرفته تر می تواند شامل هیسترکتومی رادیکال، برداشتن رحم و بافت های اطراف آن (از جمله غدد لنفاوی و قسمت فوقانی واژن) باشد.
برای درمان سرطانی که به قسمت های خارج از لگن گسترش یافته و یا در صورت بازگشت سرطان، ممکن است از پرتو درمانی استفاده شود. همچنین ممکن است برای از بین بردن سلول های سرطانی، شیمی درمانی انجام شود.
درمان زگیل تناسلی
درمان این بیماری فقط به برطرف شدن زگیل ها کمک می کند و ویروس HPV را از بین نمی برد. به خاطر داشته باشید که زگیل های تناسلی باید توسط پزشک متخصص درمان شوند و برای از بین بردن زگیل ها، نباید از داروهای بدون نسخه که برای انواع دیگر زگیل (مثلا زگیل های دست یا پا) ساخته شده اند، استفاده شود. درمان این عارضه می تواند شامل موارد زیر باشد:
- داروهایی که بر روی زگیل های تناسلی استعمال می شوند یا توسط پزشک تزریق می شوند.
- داروهای تجویزی که باید هفته ای چند بار در خانه استفاده شوند.
همچنین ممکن است پزشک زگیل ها را با استفاده از عمل هایی جزئی زیر از بین ببرد:
- کرایوسرجری (منجمد کردن)
- الکتروکوتریزاسیون (سوزاندن)
- لیزر درمانی
- عمل جراحي
اگر زگیل تناسلی دارید، شریک جنسی شما نیز باید توسط پزشک معاینه شود و در صورت ابتلا، تحت درمان قرار بگیرد. حتی اگر هیچ گونه علائمی ندارید، برای جلوگیری از عوارض این بیماری و همچنین جلوگیری از انتقال آن به دیگران، باید درمان شوید. همچنین باید پس از درمان نیز به پزشک مراجعه کنید تا مطمئن شوید که زگیل ها به طور کامل از بین رفته اند.
زنان مبتلا به زگیل تناسلی و یا زنانی که شریک جنسی آن ها به زگیل تناسلی مبتلا است، باید به طور منظم تست پاپ اسمیر انجام دهند. در صورت بروز زگیل های تناسلی بر روی دهانه رحم، ممکن است لازم باشد بعد از درمان نیز هر 3 تا 6 ماه یک بار، تست پاپ اسمیر انجام شود. زنانی که دچار تغییرات پیش سرطانی (ناشی از عفونتHPV ) شده اند نیز ممکن است متعاقبا نیاز به درمان داشته باشند.
- منبع : دکتر چک
- زمان انتشار : 1404/06/23
- لینک اصلی خبر : https://drchek.ir/%D8%B2%DA%AF%DB%8C%D9%84-%D8%AA%D9%86%D8%A7%D8%B3%D9%84%DB%8C-%D8%AF%D8%B1-%D8%AA%D8%B3%D8%AA-%D9%BE%D8%A7%D9%BE-%D8%A7%D8%B3%D9%85%DB%8C%D8%B1/
ثبت نظر